Dünyayı uzun süre etkisi altına alan korona virüs salgını, bugün gündemimizde yer almasa da uzmanlardan uyarılar gelmeye devam ediyor. Medical Park Samsun Hastanesi'nde Göğüs Hastalıkları Uzmanı Prof. Dr. Şevket Özkaya, Kurban Bayramı öncesi vatandaşları uyararak, "Önümüzde 9 günlük uzun bir bayram tatili var. İnsanlar uzun zamandan beri ilk kez bu kadar uzun süre sevdikleri ile bir arada olacak. COVID-19 ve benzer solunum yoluyla bulaşan viral hastalıklar, hala toplumda görülmeye devam ediyor. Özellikle yaşlılarımızda ağır seyredebilen bir klinik tablo olduğunu biliyoruz. Son günlerde yurt dışından gelen gurbetçilerimiz ile COVID-19 da biraz hareketlenme bekliyoruz. Düğün ve toplu aktivitelerinde fazlası ile olmasıyla hasta sayısında artış bekliyoruz" diye konuştu.

HALK ARTIK PANİK YAPMIYOR
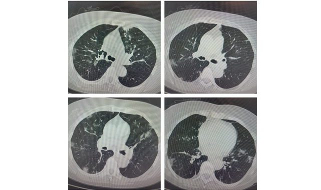
Halkın hastalığı öğrendiğini ve artık panik yapmadığını ifade eden Prof. Dr. Şevket Özkaya, "Gençlerde grip gibi seyrettiği için COVID-19 testine gerek yok ve semptomatik ilaçlar ile tedavi yeterli iken, özellikle uzamış öksürük ve yaşlı hastalarda akciğer tutulumu açısından doktora görüşmeleri ve akciğer için film çekilmesini öneriyoruz. Hastalarda bu seferki en fazla şikayet özellikle baş ağrısı ön planda. Son günlerde test pozitif hastalarda artış olabilir ama ciddi hastalık beklemiyoruz" şeklinde konuştu.
AŞI, BİZİ BOĞULMAKTAN KURTARDI
Özkaya, aşı tartışmalarına değinerek, "Aşılarla ilgili yine ciddi tartışmalar var. Özellikle yan etkileri hakkında çok fazla spekülasyonlar olmakla birlikte o dönemde, aşı öncesi ciddi ölümler varken aşı gelmesi ile ölümler birden azaldı. Her tedavinin yan etkileri var ama COVID 19 ölümleri ile aşı arasındaki ilişkiyi halkımıza şöyle anlatmak lazım. Yağmurlu bir havada denize düştük ve yüzme bilmiyoruz (yani hastalığın nasıl seyredeceğini ve tedavisinin olup olmadığını, mevcut ilaçların etkili olup olmadığını bilmiyoruz ve hastalığı yaşayarak öğrenirken) boğulmak üzere iken biri bizi teknesinde alıp kurtarıyor ve siz yağmur yağarken ıslanmaktan korkuyorsunuz. ‘Aşı bizi denizde boğulmaktan kurtardı ama ıslanmaktan (yan etkilerinden) kurtaramadı’ gibi düşünmek lazım" diye konuştu.
Yorumlar
Kalan Karakter: