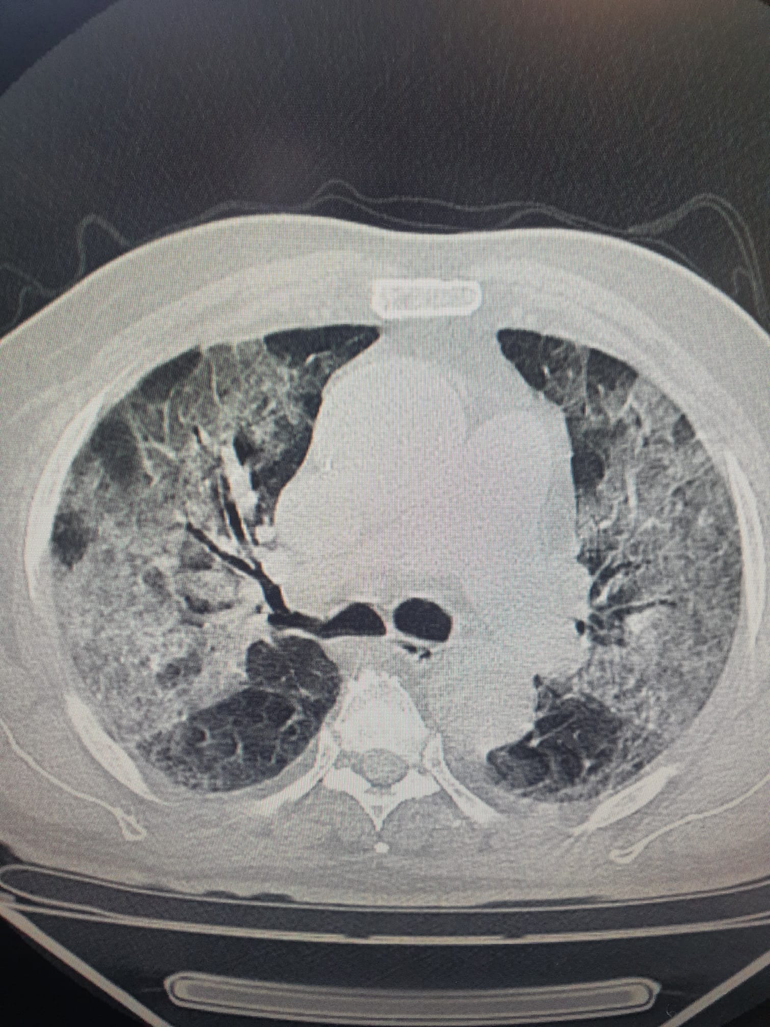
Samsun Haber - Göğüs Hastalıkları Uzmanı Prof. Dr. Şevket Özkaya, tüm dünyayı derinden sarsan Covid-19 virüsünün Samsun'da hala aramızda dolaştığını belirterek, ölümcül bir tehdit oluşturmaya devam kaydetti. Özkaya, "Özellikle yaşlı hastalarda yoğun bakım yatışları ve nadir ölümler görülmeye başladı" dedi.

HASTANE YATIŞLARI ARTTI
Özkaya, Samsun'da ciddi bir artışın olduğunu belirterek, "Tüm dünyada Maymun Çiçeği virüsu alarmı verilirken, Covid-19 virüsünün halen aramızda olduğu unutuluyor. Son haftalarda Covid vakalarının arttığını söylemiştik. Ancak akciğer tutulumları hafif olarak devam etmekle birlikte, son günlerde ciddi akciğer tutulumlarında ve hastane yatışlarında da artış var. Özellikle yaşlı hastalarda yoğun bakım yatışları ve nadir ölümler de görülmeye başladı. Maymun Çiçeği virüsü bulaşma yöntemi çok farklı olup, ülkemiz için salgın tehditi oluşturmuyor. Ancak Covid-19 virüsü halen aramızda ve sinsi ölümcül bir tehdit oluşturmaya devam ediyor" dedi.
Yorumlar 1
Kalan Karakter: