Washington Üniversitesi'nin yakın zamanda yaptığı bir araştırma, COVID-19 pandemisinin özellikle genç kızların beyinlerini erken yaşlandırmış olabileceğini ortaya koydu.
PANDEMİ BEYİN YAŞLANMASINI HIZLANDIRDI
Washington Üniversitesi'nin yakın tarihte gerçekleştirdiği bir araştırma, COVID-19 pandemisinin gençlerin, özellikle de genç kızların beyinlerini beklenenden daha hızlı yaşlandırabileceğini ortaya koydu. Araştırma, pandeminin beyin gelişimi üzerindeki olumsuz etkilerine dikkat çekerek, bu durumun uzun vadeli sonuçlarını anlamak için daha fazla inceleme yapılması gerektiğini vurguluyor.
BEYİN ÜZERİNDEKİ ETKİSİ
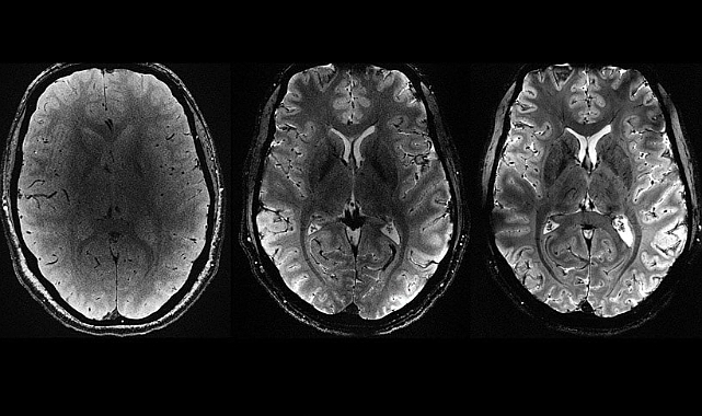
Washington Üniversitesi Öğrenme ve Beyin Bilimleri Enstitüsü'nde araştırmacı bilim insanı olan Neva Corrigan, Euronews Health’e yaptığı açıklamada, "COVID-19 sonrası verilerimiz, kortikal kalınlığın COVID-19 öncesi modellerden çok daha düşük olduğunu gösterdi. Bu durum bizi şaşırttı; ayrıca düşük kalınlık kadınlarda erkeklerden daha belirgin ve beyindeki çok daha fazla bölgede gözlemlendi" dedi.
BEYİN GELİŞİMİNDE ETKİSİ
Araştırmacılar 2018 yılında, yaşları dokuz ila 17 arasında değişen 160 genç katılımcının beyin gelişimini izlemeyi amaçlayan bir çalışmaya başladılar. Ancak, COVID-19 pandemisinin ortaya çıkması nedeniyle bu takip testleri 2021 yılına kadar ertelendi. Pandemi sürecinin ardından, araştırmacılar çalışmalarının yönünü değiştirerek, pandeminin beyin gelişimi üzerindeki etkilerini araştırmaya odaklandılar. Bu yeni odak, pandeminin gençlerin beyin gelişimini nasıl etkilediğine dair önemli veriler sağlamayı amaçladı.
PANDEMİNİN RUH SAĞLIĞINA ETKİSİ
Corrigan, "Bu, kapanmaların politika yapıcılar tarafından öngörülmeyen etkilerine dair bir başka kanıt. Akademik performansların zarar gördüğü zaten biliniyor ve çocuklar hala bu etkileri yaşıyor. Pandemi döneminde nöropsikiyatrik bozukluklar, anksiyete ve depresyonun artış gösterdiğini biliyoruz. Bu durum, genç yetişkinler için ruh sağlığı desteğinin ne kadar kritik olduğunu vurguluyor," dedi.
Yorumlar
Kalan Karakter: